Skip to content

ddi Imaging Centers

A Full Service Dental Imaging Lab

  • Patients
  • Doctors
  • Services
  • Mobile
  • News
  • FAQ’s
  • Our Team
  • Locations
  • Contact Us

Panoramic 2D X-Ray

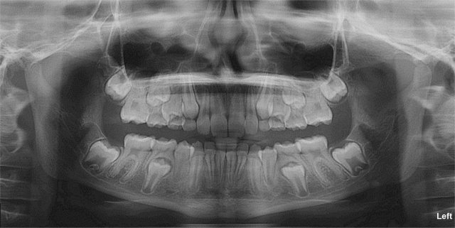
The Panoramic Projection

The panoramic is an overview image that is used to show the upper and lower jaws, erupted and unerupted teeth, and to evaluate root alignment, TMJ’s and the sinuses.

Share this:

  • Share on X (Opens in new window) X
  • Share on Facebook (Opens in new window) Facebook
Like Loading...

Phone Numbers

Sacramento, CA (916) 646-3740
Roseville, CA (916) 788-2620
Mobile Unit (888) 259-0189
A WordPress.com Website.
    • ddi Imaging Centers
    • Sign up
    • Log in
    • Copy shortlink
    • Report this content
    • Manage subscriptions
 

Loading Comments...
 

    %d